概要・特色
名鉄病院放射線科は、各種認定資格(X線CT認定技師・マンモグラフィ撮影認定技師・超音波検査士)をもつスタッフをはじめ全員が一人一人の患者さんの診断のお役に立てるよう日々努力しております。ここでは診断機器と検査についてあわせてご案内させていただきます。
CT・MRI・アイソトープ検査の画像診断を主に行っています。画像を専門とする立場から臨床現場へと医療情報を提供します。またIVRと呼ばれる、カテーテルを使った検査・治療(肝腫瘍に対するTACE・子宮筋腫に対するUAEなど)を行っています。近隣の医療機関からの紹介患者さんの検査をCT・MRI・アイソトープ検査を中心に行っています。来院された患者さんと直接問診をして検査を受けていただきます。
診療放射線技師から

我々、診療放射線技師は一般撮影装置・CT装置・MRI装置・超音波装置・RI装置・アンギオ装置など様々な医療機器を用いて質の高い画像情報を提供しています。
病院で放射線検査を受けるときに、聞いたことがあるけどよく知らない名前の装置や検査の内容で、数々の不安を抱えて検査を受けられる方が多くいらっしゃいます。説明やお話をしていく中で、その不安をできるだけ取り除き、安心して検査を受けていただけるように努めております。また被曝線量の低減にも取り組んでいます。
当院の診療放射線技師は質の高い画像情報を提供するため、学会で認定された資格の取得をはじめ、講習会や研究会にも参加し、知識、技術の向上に日々努力しております。
施設認定
- マンモグラフィ検診 施設・画像認定
- 超音波検査(腹部領域)精度認定施設
- 超音波専門研修施設
取得認定資格
- 第1種放射線取扱主任者
- 第2種放射線取扱主任者
- 放射線管理士
- 放射線機器管理士
- X線CT認定技師
- 検診マンモグラフィ撮影認定
- 超音波検査士
- 胃がん検診専門技師
- 第1種消化器内視鏡検査技師
放射線検査などについてわからないことがありましたら、お気軽に検査室の診療放射線技師や検査受付までお声かけください。
診療内容
CT
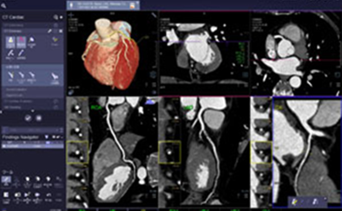
X線とコンピューターを利用して人体の断面画像を撮影する装置で、全身の臓器の形態診断に不可欠な存在となっています。当院のCT装置はエリアディテクターCTと呼ばれる最新の技術が用いられており、広範囲を短時間に撮影する事ができます。検出器1回転が0.275秒での超短時間ボリュームスキャンでスクリーニング検査から救急・精密検査まで、一度の撮影で多くの情報を得ることが可能です。得られた画像から脳血管や心臓血管・骨などの立体的(三次元)表示・解析も可能となっております。また、造影剤を使用することで、より詳しい検査を行う事も可能です。
造影剤の使用にあたってはこちら開口径780mmのワイドボアで、従来に比べ広く設計されており、圧迫感の少ない検査が可能です。
装置に標準搭載されるAIDR 3Dにより撮影部位や心電同期情報などを加味して最適なノイズ低減し、最大75%の被ばく線量低減が可能です。







3D医用画像処理ワークステーション ziostation2
画像提供:アミン株式会社
Aquilion ONE ViSION
これまでCTの弱点であった、金属などからのアーチファクト。Aquilion ONE ViSIONは標準の機能として金属アーチファクト低減機能(SEMAR)を実装しています。


当院はキャノンメディカルシステムズ主催「画論 ザ・ベストイメージ 2016」のCT AquilionONE部門で最優秀賞を獲得しました。
「画論」は診断に必要な画像の
● 臨床的有用性(クリニカルバリュー)
● 画質
● 撮像(造影)技術
● 画像処理技術
● 創意工夫
を総合的に評価する「最良のイメージ」の選定の試みです。

Aquilion Prime SP

MRI
磁力と電波を使った検査でX線被ばく無しで任意の断面の撮影が可能です。脳や脊髄、臓器、腫瘍、関節、軟骨、軟部組織などの撮影に優れており、さらに血流を画像化することができるため、造影剤を使用せずに血管の状態を知ることができます。
dStreamテクノロジーによりフルデジタル化され良質な画像提供が可能です。
さらに開口径が70㎝のワイドボアと広くなり、患者さんに優しい設計になっています。
強い磁石を使用した検査なので検査室内には金属類を持ち込めません。そのため検査着に着替えをしていただく必要があります。

※室内の様子は写真と異なります
画像提供:株式会社フィリップス エレクトロニクス ジャパン
画像診断支援システム
シーメンス社のSyngo.Viaを導入し、スムーズで的確な読影と、シームレスな画像診断環境の構築を目指しています。




画像提供:シーメンス・ジャパン株式会社
一般撮影
一般的にレントゲン写真といわれるものです。主に胸部・腹部写真、整形外科領域の写真を撮影しています。当院では撮影にデジタル装置を導入し、最新のFPDを採用しています。これにより体の下に挿入する板の出し入れが少なくなり、患者さんにより優しい検査を提供できます。


マンモグラフィ



日本乳がん精度管理機構よりマンモグラフィ検診 施設・画像認定を頂きました。この認定は、日本乳がん精度管理機構が『様々な乳房構成によるポジショニング』『適切な線量』『画質評価』などについて評価し、合格した施設に与えられる認定です。この認定を受けたということは当院での乳がん検診への取り組みや技術が評価されたということだと考えています。
また当院には、検診マンモグラフィ撮影認定技師、超音波検査士、乳がん検診超音波検査技師も複数人在籍しています。今後も質の高い乳がん検診を目指します。





血管撮影
血管の中にカテーテルと呼ばれる管を入れて様々な血管の状態を調べる事が可能な検査です。心臓の血管(冠動脈)の検査も行っており、検査の結果次第では、その場で治療を行います。また頭部や腹部では病気のある部分の血管にカテーテルを進めて、そこから薬を注入したり血管を塞栓したりする事により、副作用が少なく効果の高い治療を行うことができます。

超音波検査
一般的に「エコー」と呼ばれている検査です。この装置の画像は音波を使って音のはね返りを画像化させたものです。放射線を使用しないため非侵襲的な検査の一つで、腹部臓器の他に、頚部や下肢の血管も検査することが可能です。また、必要に応じて造影剤を使用して、さらに詳しく検査をすることも可能です。


日本超音波検査学会の精度認定(腹部領域)にて最高評価のA評価を取得いたしました。
この認定は『教育プログラムや学会への参加実績』 『人材育成・検査の標準化』 『日常・定期点検の実施』などが総合的に評価され、合格した施設でしか認定を受けることができません。
この認定を受けたということは、当院での腹部超音波検査において、技術や診療への取り組みが評価されたというこだと考えております。
また、当院には超音波検査士も複数人在籍しております。今後も質の高い検査を目指します。

アイソトープ検査(RI装置)
人体にはほとんど影響の無い量の放射性同位元素を含んだ薬剤を体内に投与(静脈注射)し、身体の状態を画像や数値で調べることができる検査です。投与した薬剤の特性を生かし、専用のカメラを使用して検査を行います。
検査は5~40分程度の検査で、ベッドに寝たままでの撮像や、カメラが回転しながらの撮像(SPECT:スペクト)を行います。
当院では認知症疾患、心筋血流評価、骨転移や甲状腺機能検査など多岐にわたり行っております。

画像提供:GEヘルスケア・ジャパン株式会社
X線テレビ撮影
X線透視画像をモニターで観察しながら、診断に必要な写真を撮影する装置です。胃のバリウム検査(胃透視)や注腸(大腸のバリウム検査)を行ったり、関節造影や整復、内視鏡を同時に用いた検査、カテーテルの挿入など、X線透視を必要とする検査を行います。当院の装置はすべてフラットパネルの装置ですので、画像の歪みが少なく、広範囲を高画質で撮影する事が可能です。


体外衝撃波結石破砕
腎臓や尿管の結石を体外からの衝撃波によって破砕し、治療を行う装置です。X線透視下で微小な結石に照準を定めピンポイントで衝撃波をあてることで、他の臓器への影響を最小限に抑えて治療することが可能です。

X線骨密度測定
X線を用いて、身体の骨密度を測定する検査です。当院では腰と大腿の骨を計測し、骨密度を測定しています。検査はベッドに寝て行います。

CT検査での造影剤の使用にあたって
造影検査は静脈(点滴)より造影剤を注入して、写真を強調させ撮影し、病気の診断をより明確にするための検査です。また血管のコントラストを増強して撮影することにより、脳、心臓、大動脈などの血管を描出することができます。検査時間は15~20分です。
造影検査のための食事制限
- 撮影する部位にかかわらず、検査4時間前から絶食にしてください。
- 水分(水・お茶)の摂取制限はありません。
- 腹部を撮影する場合は、牛乳・乳製品等タンパク質を多く含むものは飲まないようにしてください。
- 副作用を軽減させる効果があるため、検査1~2時間前にコップ1杯分の水分を摂取するようにしてください。
MRI検査を受けられる方へ
検査時の服装
原則として検査着への着替えをお願いしています。一見金属の無い着衣でも、金属が含まれている場合があるためです。着替えなどが困難な場合はMRI担当者が探知機などを使用して確認させていただき、ご自分の着衣で検査する場合もあります。

撮影時
検査時間は内容によりますが15分程度です。造影剤を使用する場合は30~45分程度です。
撮影時はMRI装置から大きな音が出ますので、耳栓のご使用をお願いしています。耳栓は検査室にてご用意しています。
長い時間動けない検査ですので、できるだけ楽な姿勢をとっていただけるよう心がけていますので遠慮なくお申し付けください。

MRI検査を受けるにあたっての諸注意事項
MRI装置は強い磁場をもっています(巨大な磁石です)。検査室内に車イス、杖、ハサミ、ペンなど金属製の物を特に持ち込むと、装置本体に向かって飛んでいく可能性があり、大変危険です。入室の際には職員によるチェックをさせていただきます。お付き添いの方も同様です。
- 検査前に所定の検査着に着替えてから検査室に入ります。
- 磁気カードは持ち込むと機能しなくなります。また、事故防止のため金属類の持ち込みは禁止していますので、鍵やバッグ等はロッカーに保管していただきます。
- コンタクトレンズはつけたまま検査可能ですが、カラーコンタクト(ディファイン含む)の場合は取り外して頂きますので、各自個人でケースをご用意ください。
- 金属類が含まれない着衣でしたら、ご本人の用意されたものでも撮影可能ですが、ワンピース・スカートなど太ももが直接触れ合うような着衣は火傷の恐れがありますので、検査着への着替えをお願いします。
- 発熱素材のインナーは発汗により火傷を誘発する恐れがありますのでご遠慮願います。インナーのお着替えは当院ではご用意していません。
- ニトロダーム、ニコチネルTTS、ニュープロを使用されている場合は、火傷の恐れがあるため検査時にはがしていただきます。
- アイメイク製品には金属を含んでいるものがあり火傷の恐れがありますので、検査前には落としていただくことがあります。
- 撮影時間はおよそ15分(造影剤を使用する場合は30~45分)です。検査前にはお手洗いを済ませておいてください。
- 検査前の飲食・内服薬は検査により異なりますので、予約時に確認をお願いします。
体内インプラント、ご本人の状態について
以下の場合、検査を受けられない可能性があります。詳細は検査予約時に医師、スタッフにご相談ください。金属インプラントについては、撮影可能とあっても画質を保証するものではありません。
- 心臓ペースメーカ・その他植え込み型装置が体内にある方。(一部MRI対応製品があります)
- 可動式義眼、人工内耳がある。
- 脳動脈クリップまたはコイル、心臓人工弁、金属ステントがある、内視鏡でクリップをした場合は、実施した時期によりますので、予約時にお知らせください。
- VPシャントがある場合は検査後の調整が必要となりますので、お知らせください。
- 妊娠している、またはその可能性がある場合は当院では撮影不可としています。
- 刺青、タトゥーがある。
- 20分程度の上向きの姿勢が困難、じっとしていられない、閉所恐怖症または狭いところが苦手である方は、予約時にご相談ください。可能な限り検査を進めていく場合があります。
- 金属で歯の矯正をしている場合、担当医に確認をお願いします。
- その他体内金属(整形外科領域、金属製避妊具、体内異物)の材質等が明確にわからない場合は安全を第一に検査を行わない場合があります。
診療実績
検査件数(総数)
| 項目 | 2018年度 | 2019年度 | 2020年度 | 2021年度 | 2022年度 | 2023年度 | ||||
|---|---|---|---|---|---|---|---|---|---|---|
| CT | 19,496 | 20,417 | 18,747 | 20,102 | 18,930 | 19420 | ||||
| MRI | 5,962 | 6,472 | 6,019 | 6,744 | 6,651 | 6773 | ||||
| 超音波 | 8,726 | 9,189 | 8,724 | 9,662 | 9,879 | 9849 | ||||
紹介検査件数
| 項目 | 2018年度 | 2019年度 | 2020年度 | 2021年度 | 2022年度 | 2023年度 | ||||
|---|---|---|---|---|---|---|---|---|---|---|
| CT | 272 | 280 | 234 | 205 | 252 | 261 | ||||
| MRI | 494 | 428 | 380 | 501 | 490 | 490 | ||||
乳がんセルフチェック
乳がんは身体の表面に近いところに発生するため、自分で観察したりふれたりすることによって発見できる可能性が高いがんです。ちなみに、乳がんの60%以上はセルフチェック(自己検診)によって発見されています。
注意
このチェックは、疾患の診断に代わるものではありません。チェックの結果、問題や異常がなくても、不安や気になることがあれば必ず医療機関を受診してください。
チェックポイントと方法
以下を参考に、ご自身でチェックしてみましょう。
| Check Point | □ 乳房の変形や左右差がないか □ ひきつれがないか □ ただれがないか □ しこりがないか □ えくぼのようなへこみがないか □ 出血や異常な分泌物がないか |
|---|
「入浴前」に鏡のまえで
- 両腕を下げた姿勢で、乳房や乳頭を観察します。
- 両腕を高く上げた姿勢で、正面・側面・斜めから乳房を観察します。
- 乳頭を軽くつまみ、血のような分泌液がないか調べます。

「入浴中」にバスルームで
皮膚の凹凸がよくわかるよう、手に石けんをつけて滑りやすくしておきます。
- 腕をあげ、乳房の表面に渦巻きを描くようにして、しこりやこぶなどがないか調べます。
- 指先をそろえてわきの下に差し入れ、リンパ節が腫れていないか確認します。

「おやすみ前」にベッドのうえで
仰向けに横たわります。(肩の下に薄いクッションなどを敷くと調べやすくなります)
- 腕を上げて、乳房の内側半分を指の腹で軽く圧迫しながら調べます。
- 腕を下げて、乳房の外側半分を指の腹で軽く圧迫しながら調べます。
- わきの下に手を入れ、しこりがないか指の腹で調べます。

毎月1回のチェックを習慣に
普段から乳房の状態を確認していれば、小さな変化が生じたときに気づきやすくなります。
セルフチェックは、閉経前の方は乳房がやわらかくなる月経終了後1週間~10日の間に、閉経後の方は一定の日にちを決めて、毎月1回行いましょう。
変化に気付いたらすぐに受診を
少しでも変化や異変に気づいたら、すぐに専門の医療機関(乳腺外科、乳腺科、乳腺内分泌外科などの表示のある病院やクリニック)を受診しましょう。
よくある質問
乳腺とは?

乳腺の構造は、乳頭を根っこ側と考えて、木のような構造になっています。乳頭から乳管がいくつか枝のように枝分かれし、最後は葉の部分、小葉となります。
乳がんの数は…?
年間93858人(2018年国立がん研究所データにより)乳がんになっています。
女性の9人に1人が乳がんに
年間14839人死亡しています。(2019年国立がん研究所データにより)
乳がん検診は何歳からどのくらいの頻度で受けるのがよいですか?
平成28年厚生労働省の指針では40歳以上の女性において、問診および乳房X線検査を2年に1度というようになっています。
乳がんにかかる人は30代から増加し始めますので、30歳になったら、どのような検診を受けるべきか医師に相談して、ぜひ検診を受けてください。
検査は一度やればよいのではなく、定期的に受け続けることが重要です。合わせて、20代を含めたすべての女性にぜひ行っていただきたいのが、乳房を自分で観察したり触れたりするセルフチェックです。定期的な検診が早期発見につながります。
どれくらい痛いですか?どうして痛いのですか?
撮影の際には、乳房を引っ張り出して圧迫をします。このときに痛みを感じる方が多いです。生理前を避けるとある程度の痛みを軽減することが可能です。
痛みは乳腺が圧迫される痛みです。乳房の大きさは関係なく、脂肪はほとんど痛みません。圧迫されて痛みを強く感じる人は比較的乳腺の量が多いか、あるいは乳腺症があることが多く、30歳代の方は乳腺の量が多いので、マンモグラフィで痛みを感じることが多いようです。

どのように撮影する?
縦方向(CC方向)と斜め方向(MLO方向)と2枚撮影します。
それぞれ死角があるのでそれを補うために2枚撮影が必要です。

どうして挟む(圧迫する)のですか?
立体的な乳房は、そのままでは腫瘍などが隠れてしまうことがあるため、より病変を見やすくするために圧迫します。また圧迫することで、被曝線量を減らす効果もあります。

胸の大きさは検査に関係ありますか?
男性でも受けられるといわれるくらいですので、大きさに関係なく検査を受けられます。
服装は?
上半身の着衣は無しで受けていただきます。ご希望によりタオルや前掛けをご用意できます。
車いすでも撮影可能ですか?
可能です。放射線技師2人で撮影するなど、できる限り患者様に無理なく検査を受けていただけるように配慮いたします。
マンモグラフィーでなにがわかるのですか?
マンモグラフィーでは石灰化像や腫瘤陰影、乳腺組織の乱れといったものを描出し、異常を発見します。良性においても石灰化像や腫瘤陰影は描出されますが、乳がんの場合、とげのある腫瘤影や特徴的な石灰化の形であったり、分布を示します。
石灰化とは…?
石灰化とは簡単に言うと「乳腺の中にあるカルシウムのかたまり」です。
良性のものから悪性のものまで様々な病気がこの石灰化を作りますが、一見して良性である石灰化というものもあります。実際には検診などで発見される石灰化のほとんどは乳腺症にともなう良性の石灰化です。
わるい石灰化とは??
乳がんと聞くと何か乳房にコロコロとしたかたまりができると考えられるでしょう。しかしそれだけではありません。しこりを作らない乳がんというものがあります。
乳がん検診にマンモグラフィが導入されているのは、石灰化によって乳がんを発見するのも重要な目的です。早期の乳がんは、乳管から外に出ずに、乳管の中を這うようにして広がるものを言います。そして、広がったときに残す「足跡」が石灰化です。

マンモグラフィーと超音波検査どちらがよいのでしょうか?
それぞれの強みと弱みがあります。


