診療内容
野球肘について
「野球肘」というとあたかも一種類しかないように思われるかもしれません。ですが、実際には「野球肘」にはいろいろな種類があります。子どもと大人では違う「野球肘」が起こります。また子ども同士、大人同士でもいろいろな「野球肘」があります。
野球肘の原因
ボールを投げるときには肘には大きな力が加わります。速い球を投げたり、肘下がり・手投げと言われるような悪いフォームで投げたりすると、1回1回の投球で肘にかかる負担が大きくなります。また球数が多くなると負担(疲労)が増えます。つまり 「肘の負担」≒(1回の投球による負荷)×(投球数) ということになります。1回の負荷があまりにも大きければ骨や靭帯が破損して「怪我」が起こります。球数が増えて肘の負担が大きくなれば「故障」が起こります。逆に言えば、負担の少ないフォームであれば同じ球数を投げても合計の負担が減ることになります。
野球肘が起こるしくみ
下の図のように肘には上腕骨、橈骨、尺骨の3つの骨があり、これらをつなぐ靭帯が内側と外側にあります(図1a)。また上腕骨の内側にはボールを握ったり、投球中にスナップを効かせたりする筋肉がついています。 ボールを投げるときには肘の内側では「牽引力」により、骨や靭帯が引っ張られて剥離骨折や靭帯損傷などが起こります(図1b)。外側では「圧迫」により軟骨や骨が陥没するような障がいが起こり(図1b)、後方では骨同士の「衝突」や「こすれ」により疲労骨折が起こったり、骨や軟骨が欠けたり削れたりします(図1c)。 また子どもと大人で障がいが発生する部分が変わるのは、子どもから大人へ成長するにつれて肘の中で最も弱い部位が変化し、この弱点に障がいが起こりやすいためです。



野球肘の種類
肘の内側が痛くなるもの
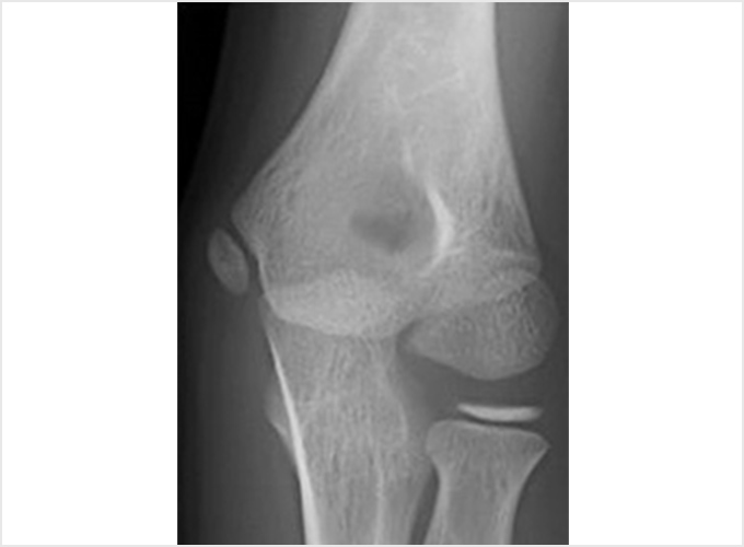
上腕骨内側上顆障害(リトルリーグ肘)
子供に起こる障がいです。肘の内側の骨の出っ張り部分(内側上顆といいます)の成長軟骨が障がいされます(図2)。徐々に肘の痛みが出て、初めのうちは投球後数時間で痛みはおさまってしまいますが、そのうちに痛みがおさまりにくくなります。子供の野球肘はほとんどがこの障がいです。少年野球選手の20%以上にみられたという報告もあります。多くは1~2か月の投球中止によりほぼ治癒します。投球(送球)以外のランニング、バッティング、ノックの捕球の練習などは中止しなくてもよい場合がほとんどです。体が硬い、フォームが悪いなどの問題があると再発しやすいため、これらの問題がないかチェックし、リハビリで問題点を是正し再発を予防します。


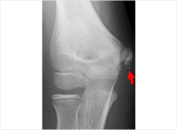
上腕骨内側上顆裂離
上腕骨内側上顆障害とよく似ていますが、これはある1球を投げた時から急に痛みが出ます。肘の内側の出っ張り部分(内側上顆)の成長軟骨や骨が割れたもの(裂離といいます)で、怪我の一種です。怪我なので1~3週間程度固定が必要なことが多いです。この場合も再発予防のために体の硬さ、フォームなどに問題がないかチェックし、是正します。
上腕骨内側上顆骨端線閉鎖不全
中学生頃に肘の内側の出っ張り部分(内側上顆)の成長軟骨と上腕骨の間は徐々に癒合し、投球側が先に癒合するといわれています。しかし、フォームが悪かったり、球数が多くなったりして強い牽引力が繰り返し加わるとなかなか癒合しなくなることがあります。数か月の投球中止で癒合することが多いですが、手術でネジなどを使って固定することもあります。
上腕骨内側上顆骨端線離開
上腕骨内側上顆骨端線閉鎖不全と似ていますが、これはある1球を投げた時から急に痛みが出ます。投球時に内側の筋肉に引っ張られて肘の内側の出っ張り部分(内側上顆)の成長軟骨が上腕骨からはがれた状態です。ずれが大きい場合は手術が必要です。
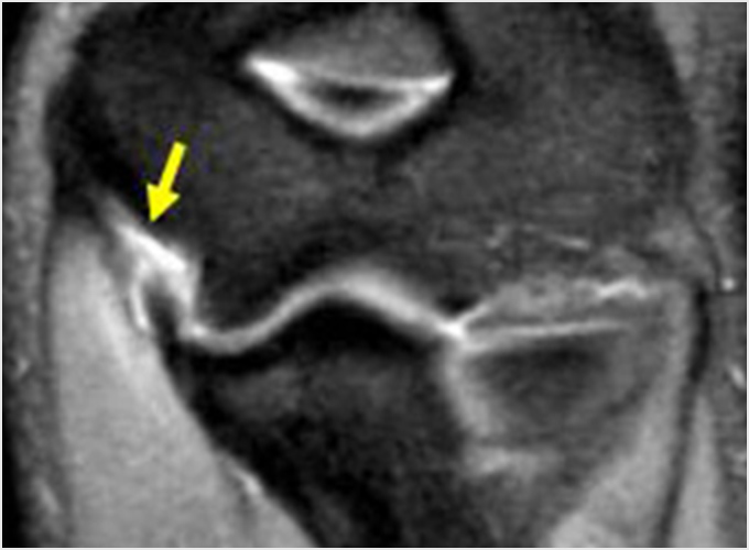
内側側副靭帯損傷
通常高校生以上で起こります。投球時の「牽引力」により内側の靭帯が引っ張られて損傷します(図3a)。疲労がたまって徐々に傷んでくる場合と急に断裂する場合があります。投球を中止し、フォームや体の硬さなどに問題があればこれを改善します。また靭帯を補強してくれる腕の筋肉(回内屈筋群)を強化するなどのリハビリ治療を行います。最近では、多血小板血漿(PRP)治療という再生医療の一種を行うことも多くなってきました。それでも改善しない場合には手術を行うことがあります。手術はトミージョン手術と呼ばれる靭帯再建術を行います。手首のすじ(腱)を肘に移植して靭帯を再建します(図3b)。復帰には1年ほどかかります。


回内屈筋群の障がい(肉離れ、疲労)
投球により腕の内側の筋肉に疲労がたまったり、肉離れが起こったりすることがあります。投球を休止し、痛みが治まったらフォームや体の硬さなどの問題を改善したり、腕の筋肉のストレッチを行ったりして再発を予防します。
尺骨神経障害
長年野球をすることにより肘に変形が起こり、この変形によって内側の神経(尺骨神経)が圧迫されたり、肘周辺の発達した筋肉が神経を圧迫したりして小指や薬指にしびれが出ることがあります。投げているうちにしびれが出て投げられなくなることもあります。投球の休止、腕の筋肉のストレッチ、フォームや体の硬さなどの問題を改善します。こうした治療で改善しない場合には手術が必要となることがあります。
肘の外側が痛くなるもの
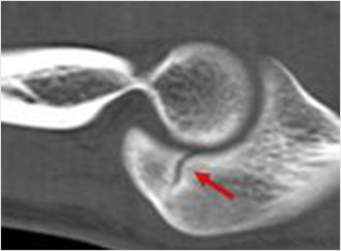
離断性骨軟骨炎(上腕骨小頭障害)
野球肘で最も重症になる障がいの1つです。ひどくなると関節軟骨の一部がはがれて関節ネズミとなったり、肘が変形して動きが悪くなったりします。初期に発見されれば投球禁止で治り、手術はしなくてもすむ場合が多いのですが、末期になると手術が必要となり、手術をしても肘の動きの制限や変形が残ってしまうこともあります。10歳前後で発症することが多いのですが、初期には自覚症状がないことが多く、13-17歳ごろにグラグラになった軟骨がはがれて痛みが出て初めて医療機関を受診されることもよくあります。 手術となった場合には骨の成長の度合い、病変の進行具合、病変の大きさなどにより手術方法が変わります。軟骨が安定している場合には軟骨を固定する手術を行う場合が多いです。軟骨がはがれている場合、病変が小さければ関節鏡を用いてはがれた、あるははがれかけている軟骨を摘出します(図4a)。病変の直径が1㎝以上であれば切開手術で膝の軟骨を病変部に移植します(図4b)。 最近全国各地で少年野球検診が行われるようになりましたが、一番の目的は離断性骨軟骨炎を早期に発見し、重症になる前に治療を行うことなのです。平成28年から多くの医師、理学療法士の協力により名古屋でも行われるようになりました。私も検診に参加し、エコーでのチェックを担当しました。およそ100人に1-2人の割合で発見されました。




滑膜ひだ障害
投球で肘を伸ばしたとき(フォロースルー)に肘の後外側にある膜が骨に挟まって痛みを出します。投球フォームに問題があれば改善したり、肘筋という筋肉を鍛えたり、注射をしたりして治療しますが、関節鏡手術で滑膜ひだを切除することもあります。
肘の後ろが痛くなるもの
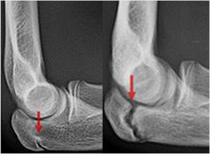
肘頭骨端線閉鎖不全
骨が成長する部分のことを骨端線と呼びます。通常尺骨(腕の小指側の骨)の骨端線は中学~高校で閉鎖(癒合)します(図5a)。ボールを投げるとき、フォロースルーでは肘が伸びますが、このときに肘の後ろで骨同士の衝突が起こり、骨端線が開くような力が働きます。これにより骨端線の癒合が遅れたり、骨端線部分で骨が分離したりして、骨折のようになることがあります(図5b)。投球を休止し、痛みが治まったらフォームや体の硬さなどの問題を改善したりします。なかなか治らない場合にはボルトなどで骨端線を固定する手術を行うことがあります。


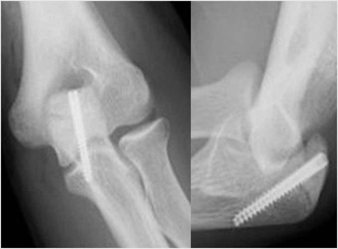
肘頭疲労骨折
同様にボールを投げ肘が伸びるとき(フォロースルー)に、肘の後ろで骨同士の衝突が起こり、これを繰り返すことで疲労骨折が起こることがあります(図6a)。骨端線が癒合した中学~高校以降で起こります。投球を休止し、フォームや体の硬さなどの問題を改善し、再発を予防します。なかなか治らない場合、繰り返す場合にはボルトなどで疲労骨折を固定する手術を行うことがあります(図6b)。




肘頭骨棘骨折
投球を繰り返すことで少しずつ骨に棘(とげ)のような余分な骨ができてくることがあります。これを骨棘(こつきょく)といいます(図7a)。投球で肘が伸びたときに、肘の後ろで骨同士の衝突が起こり、骨棘が骨折します。投球を休止し、フォームや体の硬さなどの問題を改善したりして、再発を予防します。なかなか治らない、繰り返すなどの場合には関節鏡を用いて骨のかけらや骨棘を切除する手術を行います(図7b.c)。



後方インピンジメント
投球で肘が伸びるときに、肘の後ろで骨同士の衝突が起こり、このとき骨と骨の間に軟部組織が挟まって痛みを出します。上腕三頭筋を鍛えたり、フォームや体の硬さなどの問題を改善したりして治療します。なかなか治らない、繰り返すなどの場合には手術を行います。
いろいろなところが痛くなるもの
関節内遊離体(関節ねずみ)
離断性骨軟骨炎、肘頭骨棘骨折、軟骨損傷などにより出来た軟骨や骨のかけらが骨の間に挟まって痛みを出します。挟まっていないときは全く痛みが出ませんが、挟まると激痛が起こります。なかなか治らない、繰り返すなどの場合には関節鏡を用いてクリーニング手術を行います。
変形性肘関節症
野球を長年行うと徐々に肘に変形が起こったり、関節ネズミができたりもします。大きな骨棘ができると曲がりや伸びが悪くなることもあります。症状により関節鏡を用いてクリーニング手術を行うこともあります。
胸郭出口症候群
猫背のように姿勢が悪かったり、投球により広背筋などの筋肉が硬くなって肩甲骨の位置が下がったりすると首から肩や腕へつながる神経、血管が引っ張られたり、圧迫されて肩や肘の痛み、手のしびれなどが起こります。小学生から大人まで幅広い年齢で起こります。姿勢の矯正、硬くなった筋肉のストレッチ、肩甲骨周りの筋力トレーニングを行い治療します。

